







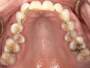
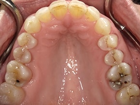
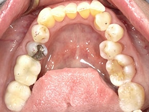
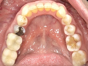
This patient had very crowded teeth and was unhappy with their appearance. We were able to straighten, align, and improve her bite which will prevent further damage from clenching and grinding. The teeth are now in their final position, allowing us to begin additional cosmetic enhancements at the gum line. Going forward, the patient will only need to wear retainers at night!

Ready to book your next dental visit or learn more about our services?
Getting in touch with Vaccaro Aesthetic and Family Dentistry is quick and easy. Our friendly team is here to help with scheduling, answering questions about treatments, and addressing any concerns. Whether by phone or our convenient online form, we make connecting with us easy. Take the first step toward a healthier, more confident smile—contact us today and experience personalized dental care that truly makes a difference.