





As a patient of Dr. Vaccaro, I cannot say enough how proud and excited I am to show off my new smile! He is a perfectionist that cares deeply about his patients' long-term dental health AND their confidence in their smile. I'm lucky to also work in the office, and see Dr. Vaccaro continue to work artistry in smile design and smile restoration every day!
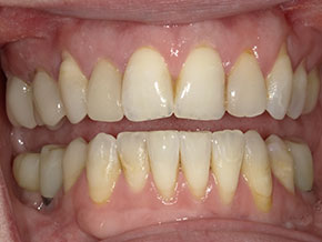
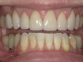
This patient never "loved" her smile because she could see the fillings in between her front teeth when she smiled. Some were rotated, not the same size, and differed in color. Now she loves how they are all the same color, symmetrical, and all uniform in shape and size. Porcelain crowns and veneers were used to make her smile, one she is very proud to show off!!!

Ready to book your next dental visit or learn more about our services?
Getting in touch with Vaccaro Aesthetic and Family Dentistry is quick and easy. Our friendly team is here to help with scheduling, answering questions about treatments, and addressing any concerns. Whether by phone or our convenient online form, we make connecting with us easy. Take the first step toward a healthier, more confident smile—contact us today and experience personalized dental care that truly makes a difference.