




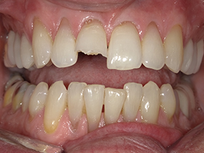
Dr. Goodman, the former owner of the practice, came to see Dr. Vaccaro with a fractured front tooth. We made a porcelain veneer with custom shade to match the other front tooth color.

Ready to book your next dental visit or learn more about our services?
Getting in touch with Vaccaro Aesthetic and Family Dentistry is quick and easy. Our friendly team is here to help with scheduling, answering questions about treatments, and addressing any concerns. Whether by phone or our convenient online form, we make connecting with us easy. Take the first step toward a healthier, more confident smile—contact us today and experience personalized dental care that truly makes a difference.