





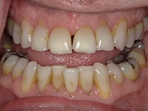
This patient came to us before his wedding and wanted to fix his smile. He had issues with his bite and many chipped and broken front teeth. We were able to create symmetry and balance in his smile and now, he is looking forward to smiling confidently in his wedding pictures!

Ready to book your next dental visit or learn more about our services?
Getting in touch with Vaccaro Aesthetic and Family Dentistry is quick and easy. Our friendly team is here to help with scheduling, answering questions about treatments, and addressing any concerns. Whether by phone or our convenient online form, we make connecting with us easy. Take the first step toward a healthier, more confident smile—contact us today and experience personalized dental care that truly makes a difference.