




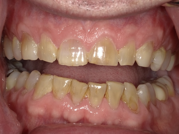
This patient had never heard of veneers and didn’t know how he could improve his smile. He always thought he had "bad teeth" and that there was no way to get "good teeth". Dr. Vaccaro recommended 8 over 8 veneers and crowns combined. He chose to stay with a more conservative treatment plan and is VERY happy. Dr. Vaccaro and the team at Vaccaro Aesthetic and Family Dentistry completed 4 upper front veneers and 6 lower front crowns. The patient is now thinking about adding two veneers on either side of the upper arch. The results speak for themselves. The patient now thinks he has "GOOD TEETH", and is very pleased he chose to move forward with the treatment.

Ready to book your next dental visit or learn more about our services?
Getting in touch with Vaccaro Aesthetic and Family Dentistry is quick and easy. Our friendly team is here to help with scheduling, answering questions about treatments, and addressing any concerns. Whether by phone or our convenient online form, we make connecting with us easy. Take the first step toward a healthier, more confident smile—contact us today and experience personalized dental care that truly makes a difference.