






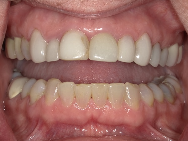
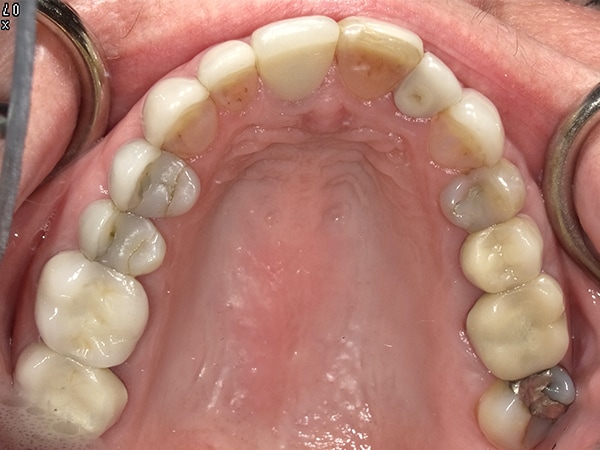
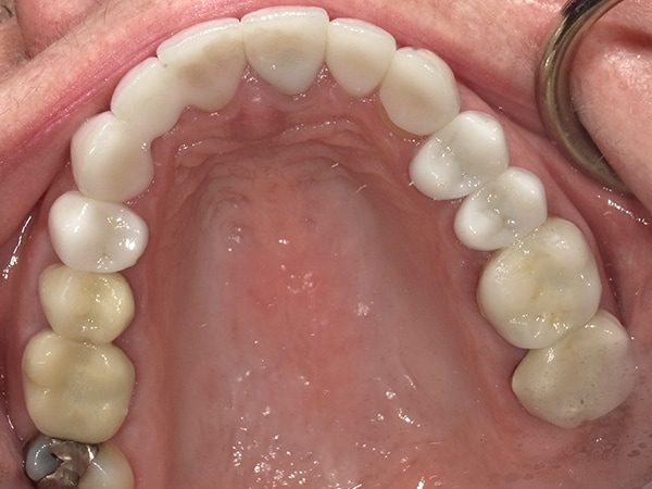
This patient had a small right lateral incisor and an old, cracked veneer on the right central incisor. Due to this, there was no symmetry in her smile and the old veneers and crowns were beginning to darken. Our goal was to create a brighter smile with same size teeth on both sides. We began by extracting the small front lateral incisor placing temporaries while the patient healed. We designed the temporaries to resemble the final smile result. Once healed, we placed a bridge and 6 crowns to create her final smile. She is absolutely thrilled with the results!

Ready to book your next dental visit or learn more about our services?
Getting in touch with Vaccaro Aesthetic and Family Dentistry is quick and easy. Our friendly team is here to help with scheduling, answering questions about treatments, and addressing any concerns. Whether by phone or our convenient online form, we make connecting with us easy. Take the first step toward a healthier, more confident smile—contact us today and experience personalized dental care that truly makes a difference.