





The technology here is first-rate…I knew after the initial consultation that I was going to move forward with Dr. Vaccaro, and now I'm a permanent patient.
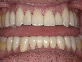
This patient had headaches and was only able to bite down using his front teeth, the upper and lower teeth were becoming worn down as a result. Crowns were made for the back teeth to build a balance bite. He now has a functional bite, no headaches, and an incredible smile!

Ready to book your next dental visit or learn more about our services?
Getting in touch with Vaccaro Aesthetic and Family Dentistry is quick and easy. Our friendly team is here to help with scheduling, answering questions about treatments, and addressing any concerns. Whether by phone or our convenient online form, we make connecting with us easy. Take the first step toward a healthier, more confident smile—contact us today and experience personalized dental care that truly makes a difference.