





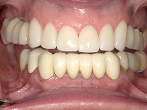
This patient wasn't sure she wanted to touch her front teeth but she was never happy with the way they looked, how they aged, or how they felt to her tongue. She started to notice them cracking over time and trusted Dr. Vaccaro to show her what the final result could look like with our cosmetic imaging. We made and placed 6 porcelain crowns for her. She couldn't be happier!

Ready to book your next dental visit or learn more about our services?
Getting in touch with Vaccaro Aesthetic and Family Dentistry is quick and easy. Our friendly team is here to help with scheduling, answering questions about treatments, and addressing any concerns. Whether by phone or our convenient online form, we make connecting with us easy. Take the first step toward a healthier, more confident smile—contact us today and experience personalized dental care that truly makes a difference.