





Dr. Vaccaro and his team are all top notch! From routine cleanings to tooth repair, my experience was great. With a couple of chipped teeth, Dr. Vaccaro was an artist, making them look as good as new!
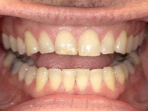
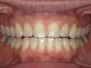
This patient had a chipped front tooth and was wearing down his canines from grinding his teeth. The discoloration of his front tooth was also an aesthetic concern. We used cosmetic bonding on teeth #6, 7, 8, and 11, and also used in-office Zoom Whitening – the results were fantastic! He is now very happy to show off his new smile and finds himself smiling more confidently and more often.

Ready to book your next dental visit or learn more about our services?
Getting in touch with Vaccaro Aesthetic and Family Dentistry is quick and easy. Our friendly team is here to help with scheduling, answering questions about treatments, and addressing any concerns. Whether by phone or our convenient online form, we make connecting with us easy. Take the first step toward a healthier, more confident smile—contact us today and experience personalized dental care that truly makes a difference.