





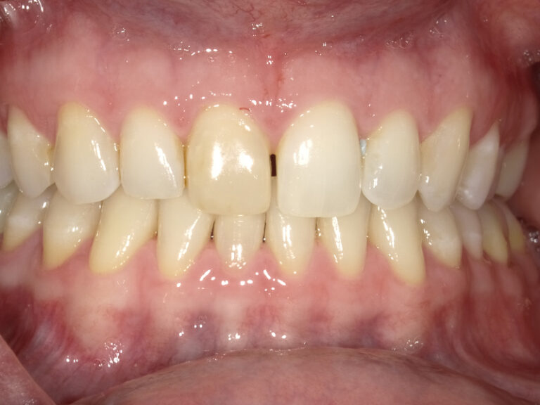
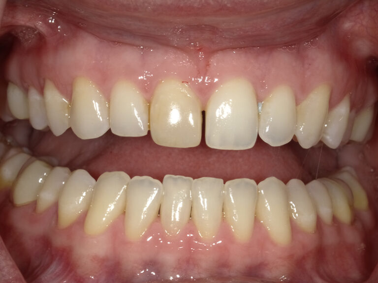
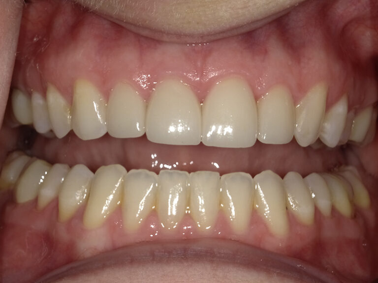
This patient had spaces in her front teeth that she didn't like and an old discolored filling on her front tooth that never looked right. She decided to have two crowns and two veneers placed in order to close the space and make her teeth appear natural and uniform. The result turned out fantastic, and we are so proud of how wonderful her smile looks now!

Ready to book your next dental visit or learn more about our services?
Getting in touch with Vaccaro Aesthetic and Family Dentistry is quick and easy. Our friendly team is here to help with scheduling, answering questions about treatments, and addressing any concerns. Whether by phone or our convenient online form, we make connecting with us easy. Take the first step toward a healthier, more confident smile—contact us today and experience personalized dental care that truly makes a difference.