









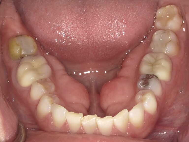
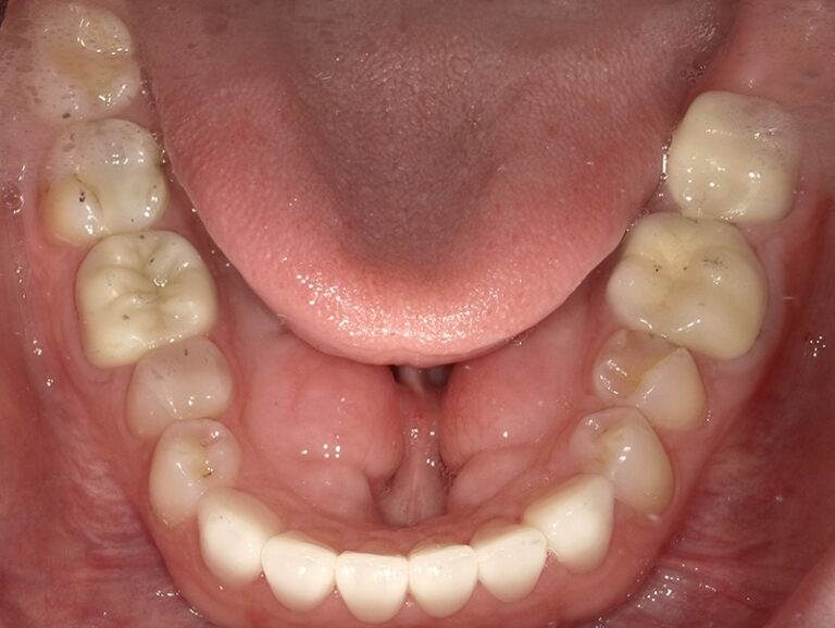
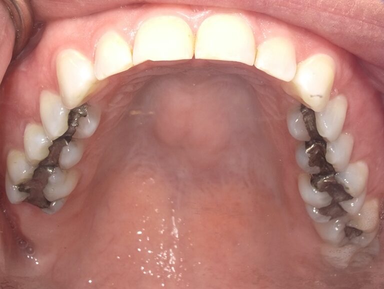
We began this patient's cosmetic journey with SureSmile clear aligners. We were able to accommodate patient's request of a shorter aligner treatment length, and move on to porcelain restorations. We placed 12 upper crowns and 6 lower veneers, thus giving her a beautiful new smile in a shorter timeframe!

Ready to book your next dental visit or learn more about our services?
Getting in touch with Vaccaro Aesthetic and Family Dentistry is quick and easy. Our friendly team is here to help with scheduling, answering questions about treatments, and addressing any concerns. Whether by phone or our convenient online form, we make connecting with us easy. Take the first step toward a healthier, more confident smile—contact us today and experience personalized dental care that truly makes a difference.